Перетворення усмішок – результат майстерності наших лікарів
Ми віримо, що кожна усмішка унікальна, і наша місія – допомогти вам повернути її красу та здоров'я. На цій сторінці ви можете побачити приклади реальних кейсів від наших лікарів, які доводять: навіть найскладніші завдання вирішуються з професіоналізмом, турботою та сучасними технологіями.
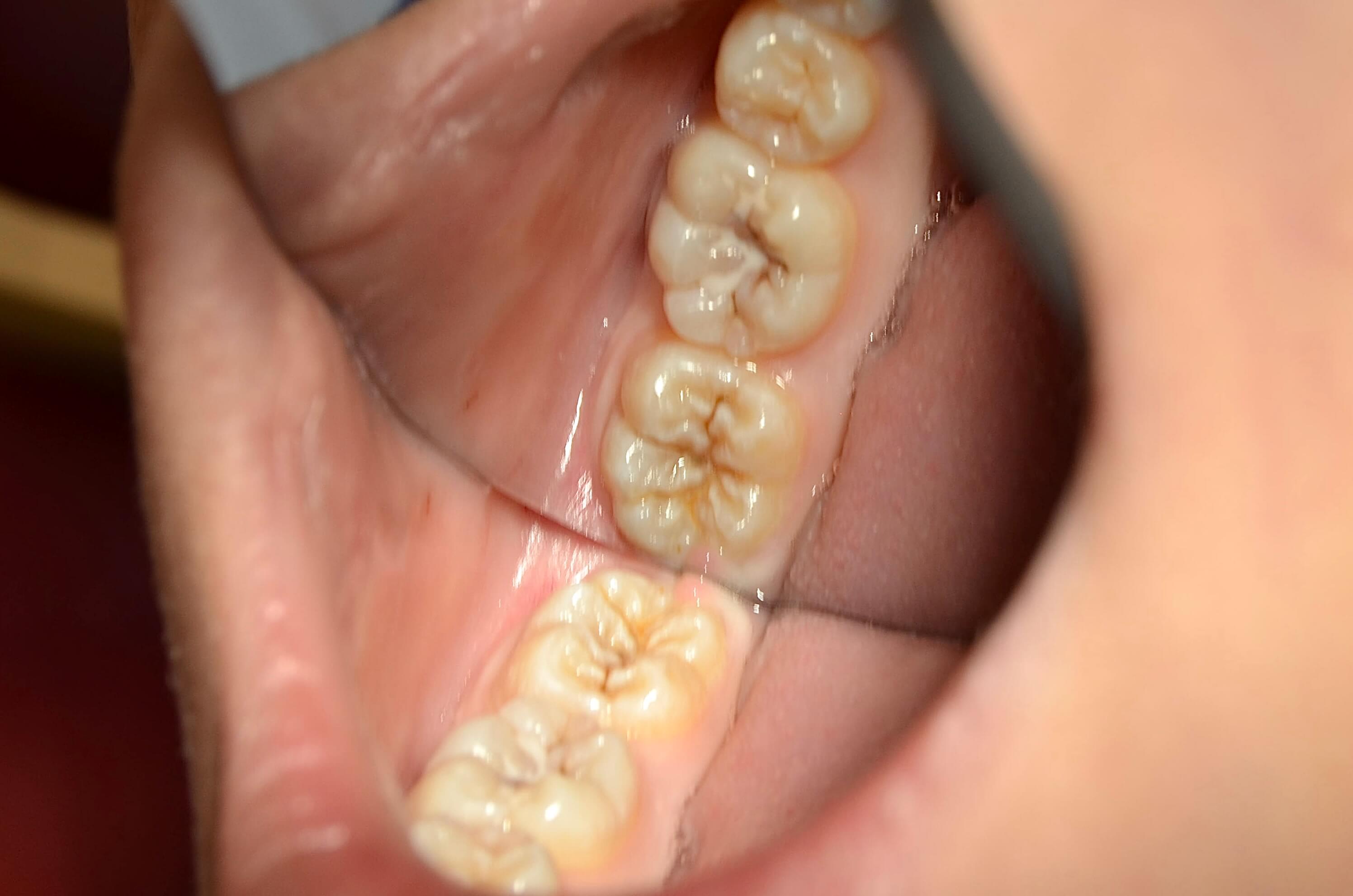
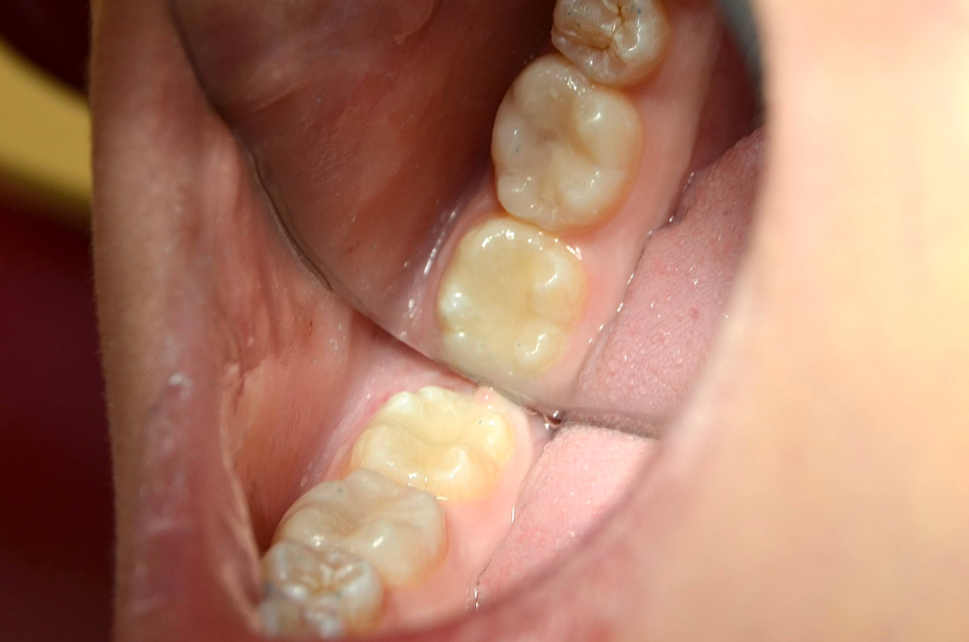
Лікування та художня реставрація жувальних зубів
Чому важливо побачити результати робіт?
-
Довіра до професіоналів: Ви побачите, як ми досягаємо природного результату у кожному випадку.
-
Індивідуальний підхід: Кожен пацієнт отримує рішення, яке ідеально відповідає його потребам.
-
Реальні результати: Всі фото та описані кейси належать нашим пацієнтам, які поділилися своїми історіями.
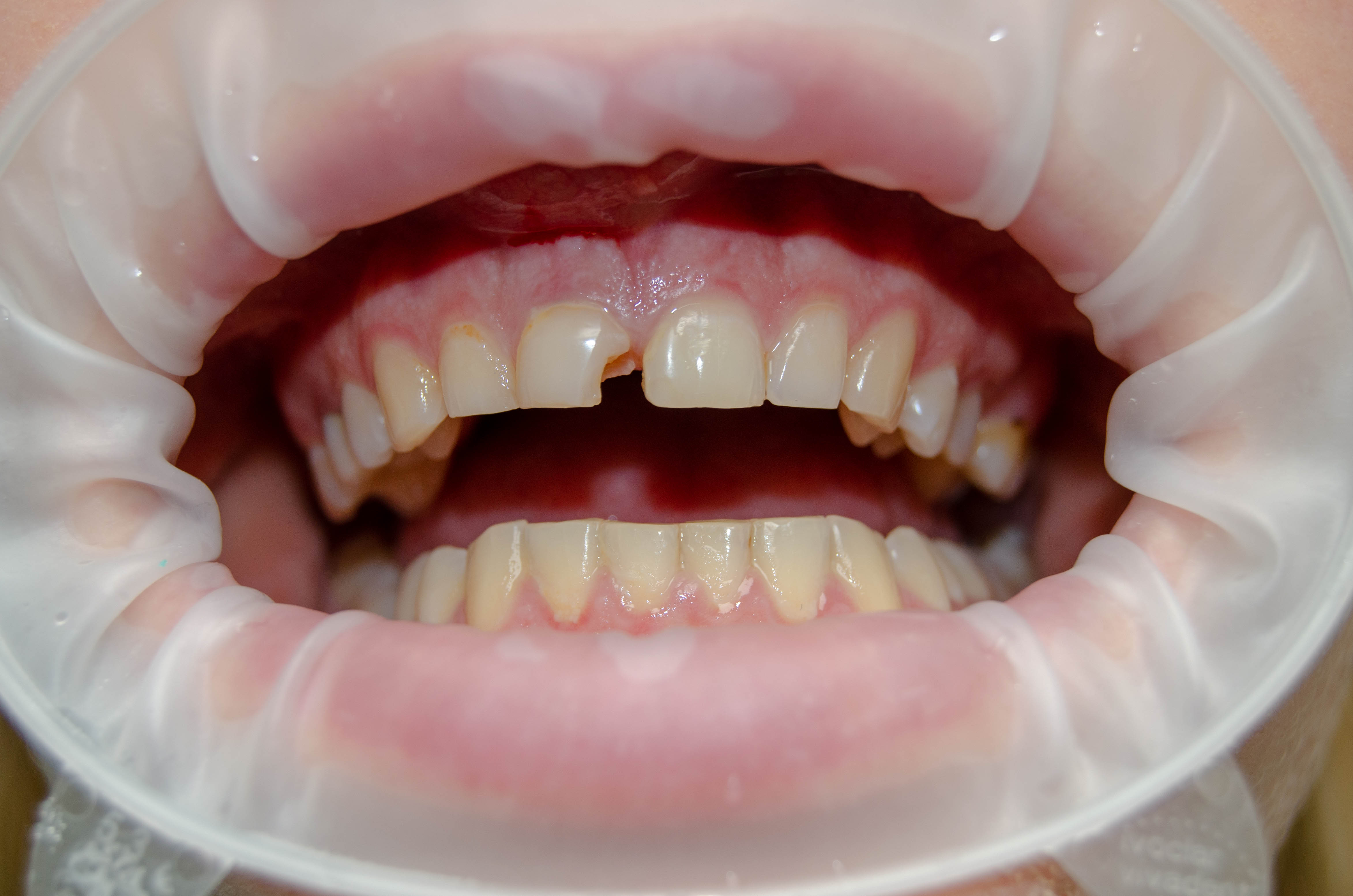
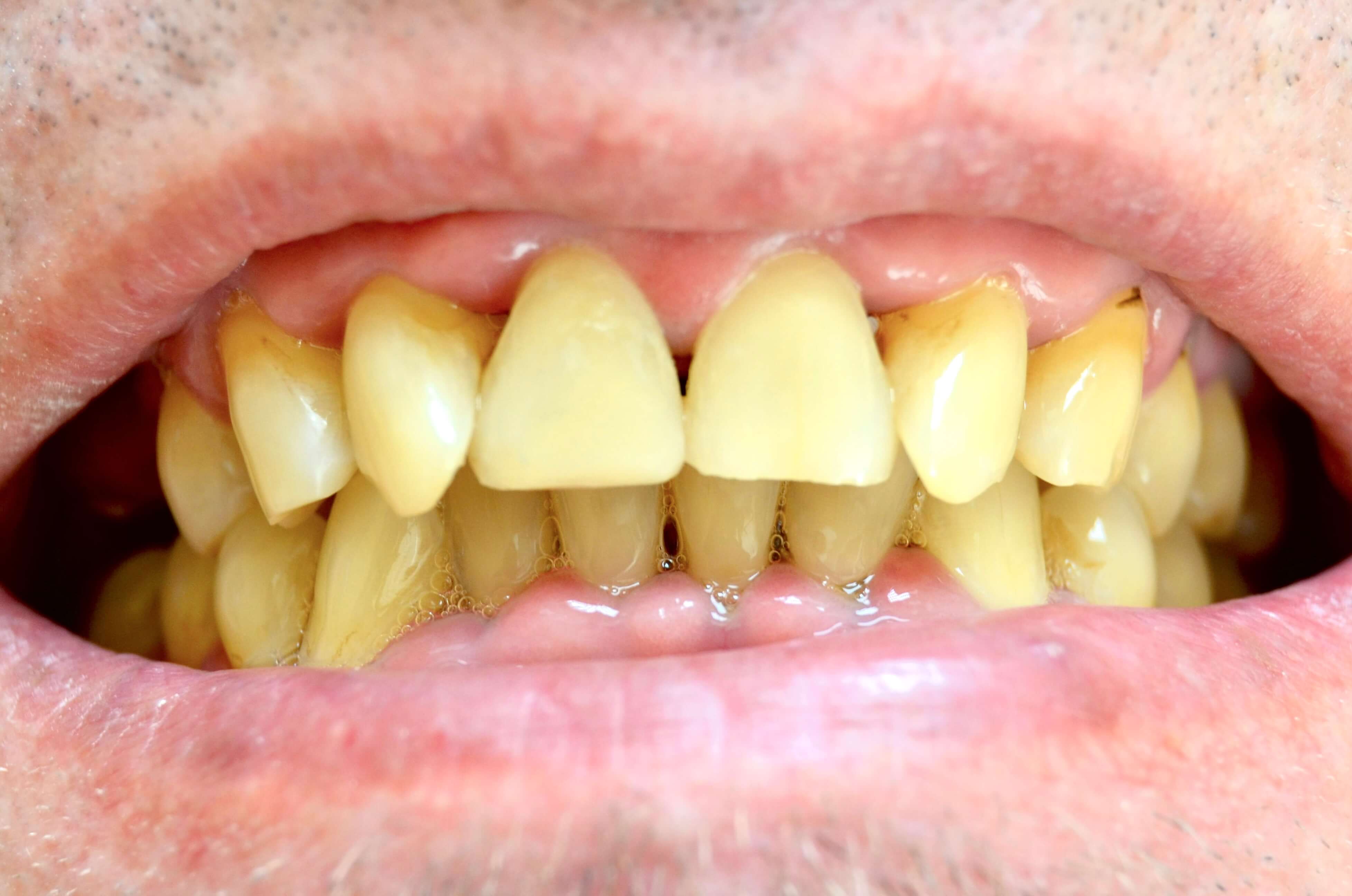
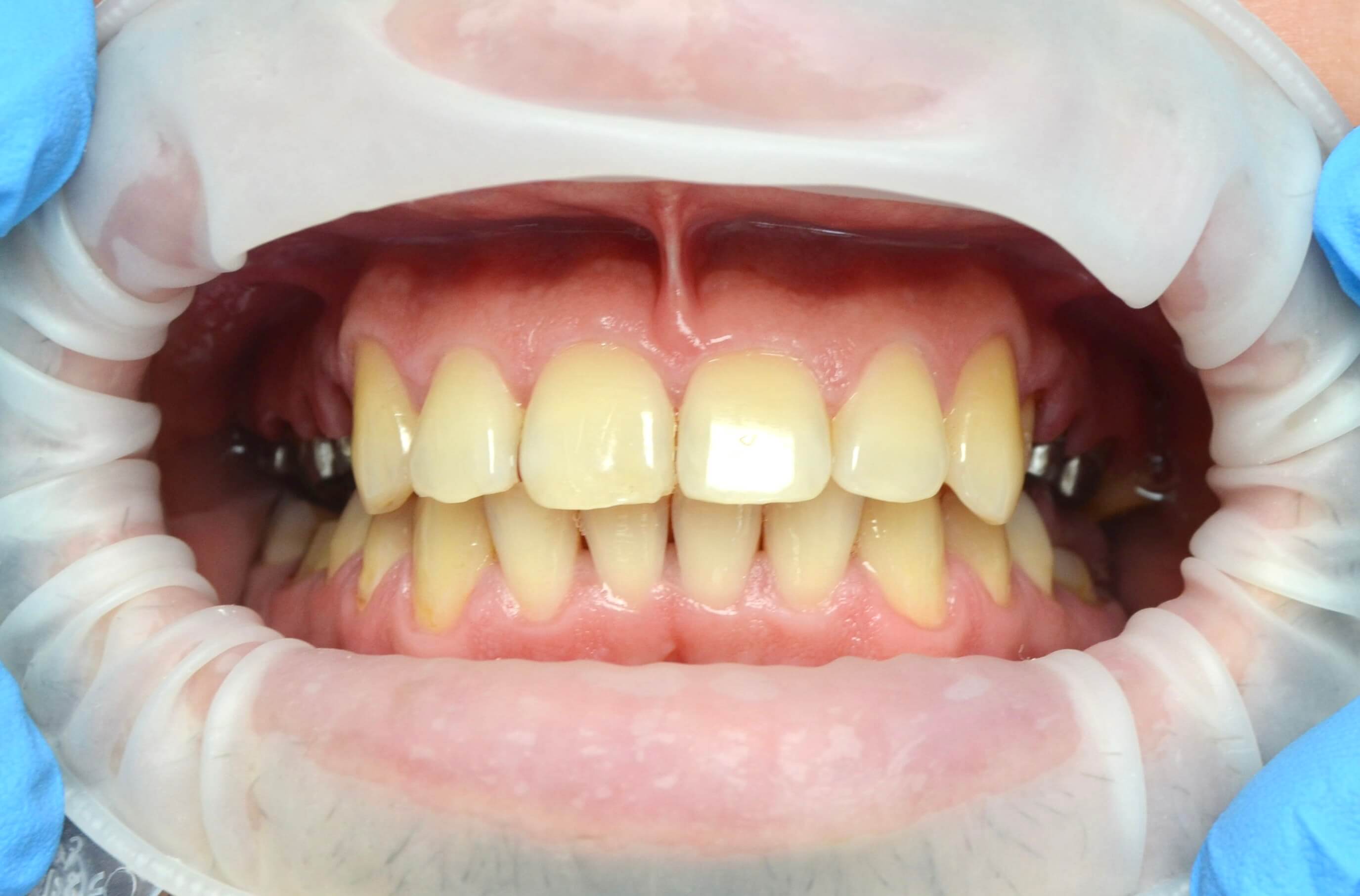
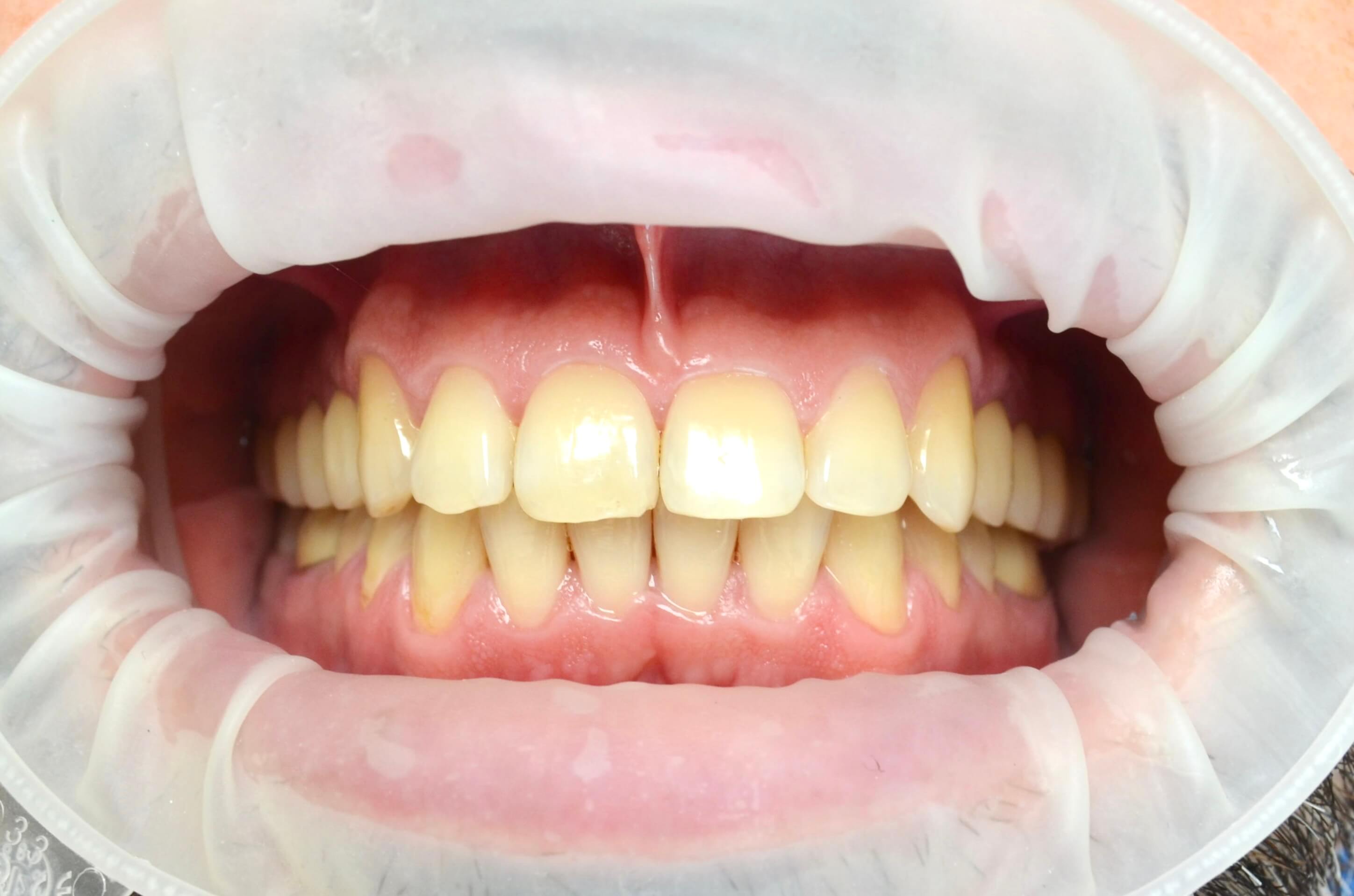
Художня реставрація фронтальних зубів
1.


2.


3.


4.


Як ми працюємо?
-
Діагностика: Ми уважно вивчаємо стан ваших зубів і визначаємо оптимальний план лікування.
-
Інноваційні рішення: Використовуємо сучасні матеріали та технології, щоб гарантувати довговічний результат.
-
Команда професіоналів: Наші лікарі – це кваліфіковані спеціалісти з великим досвідом роботи.
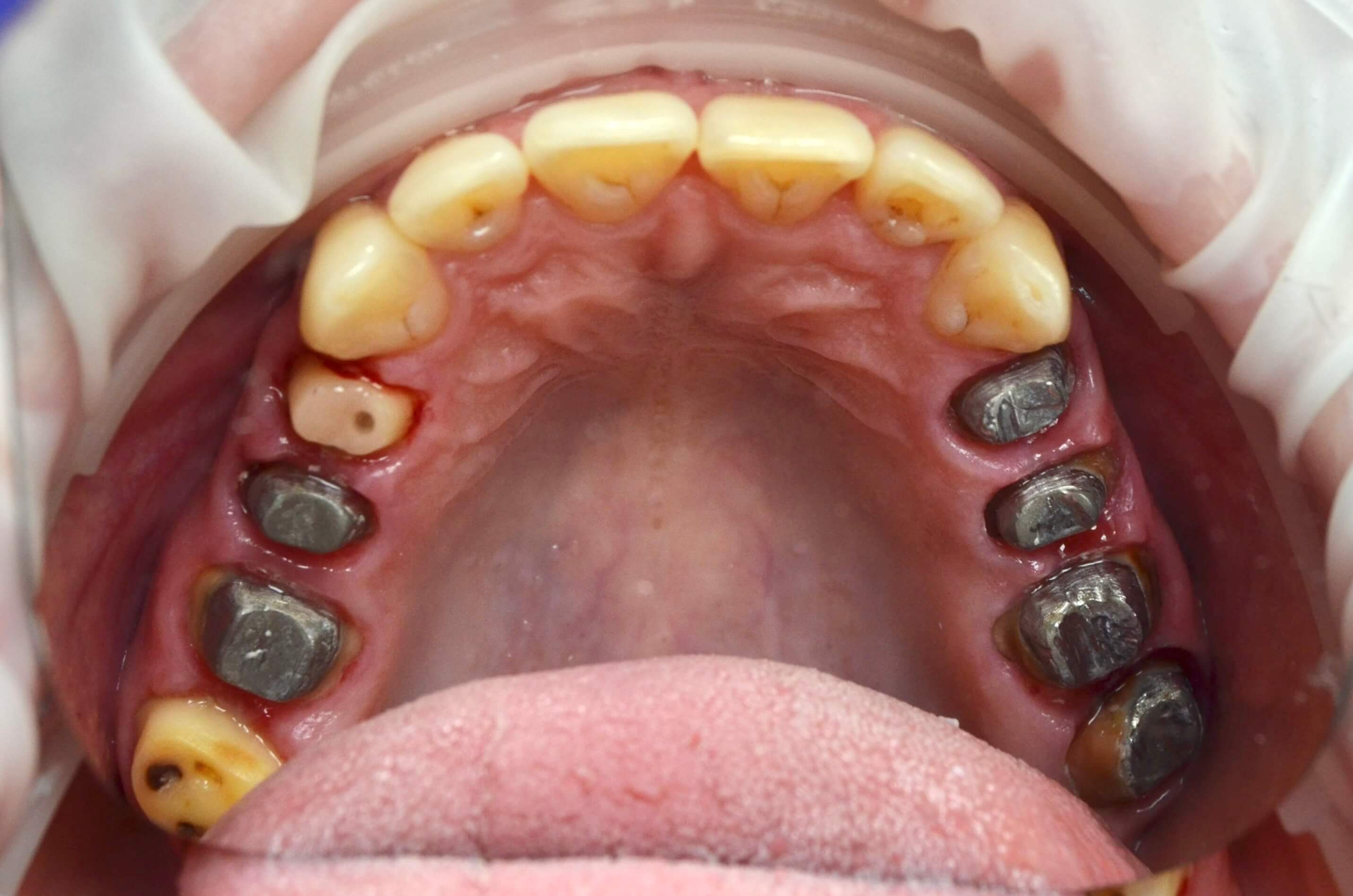
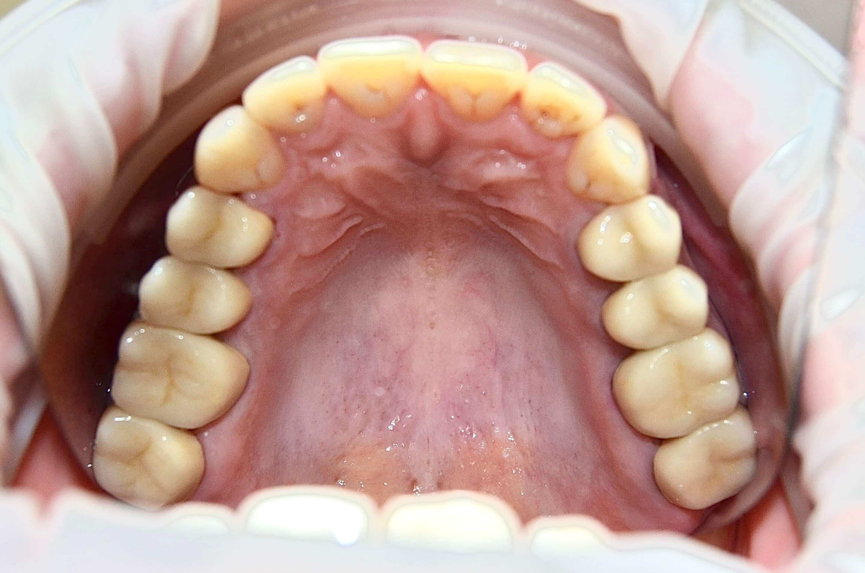
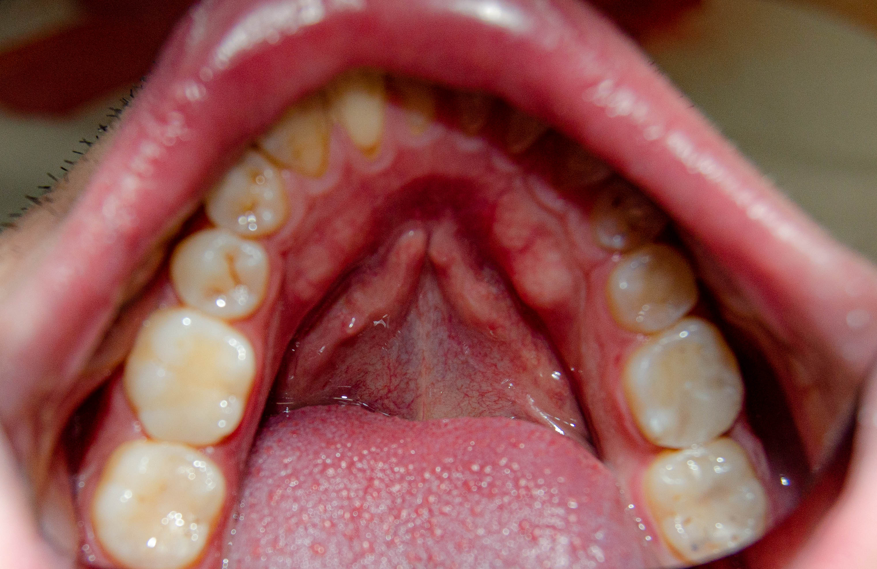
Професійна чистка зубів
Очищення зубів від нальоту та зубного каменю за допомогою ультразвуку та апарату AirFlow
1.


2.


Протезування зубів
1.

2.

Перегляньте роботи наших лікарів та зробіть перший крок до ідеальної усмішки!
Ми готові допомогти вам на шляху до здорових та красивих зубів. Якщо ви надихнулися нашими роботами, записуйтесь на консультацію просто зараз.
Разом ми створимо вашу усмішку, яка сяє впевненістю!